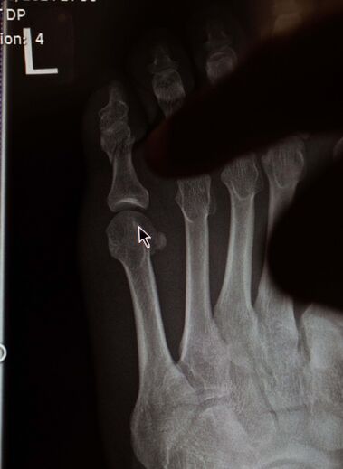
Irlandês fartou-se das críticas e exibiu a mazela que o afasta da luta com Michael Chandler
Depois de ter anunciado a desistência da luta no UFC 303 por conta de uma lesão, Conor McGregor foi alvo de duras críticas, com acusações de que estaria a fugir do combate com Michael Chandler e, por isso, inventou uma lesão. Farto de todos esses ataques, o irlandês de 35 anos utilizou as redes sociais para mostrar o estado em que ficou o seu pé (o motivo da desistência) e para deixar a garantia de que voltará... até porque um novo Bugatti para comprar.
"Meu, estávamos tão prontos para esta luta, que é mesmo doloroso isto. Quero aquele novo Bugatti. Como é que vou justificar a mim mesmo esse investimento sem receber destas lutas? Tivemos um momento de desconcentração e entrámos na sessão de treino sem utilizar o equipamento de proteção completo. E acabei por bater com o dedo e parti-o. Agora preciso de umas semanas. A próxima vez que me virem a entrar no octógono será a 100%. Os meus fãs merecem e estamos perto disso. Uma pequena desconcentração e veio uma lesão. Agora é aprender com a lição e seguir em frente. Vou voltar. Tenho de. Tenho mais duas lutas neste contrato. Tenho Bugattis e mais iates em mente. Vim aqui para brilhar, só preciso do meu tempo. Porque ainda tenho iates, Bentleys, mansões e tudo o resto. Vocês conhecem-me. Vemo-nos em breve. Seja o Chandler ou não", escreveu o irlandês, no Instagram.
McGregor, refira-se, não combate no UFC desde 2021, altura na qual sofreu a segunda de duas derrotas consecutivas diante de Dustin Poirier.
Português dominou o brasileiro Jhonata Diniz
Lutador brasileiro formula desejo antes do UFC Rio
Paige VanZant diz ganhar, atualmente, "mais dinheiro em 24 horas do que em toda a carreira"
Lutador infringiu política antidoping do UFC
Antigos colegas no Crystal Palace em rota de colisão
Jonjo Shelvey já não se sente seguro em Inglaterra
Sentiu cãimbra, foi auxiliado e substituído. Pouco depois viria a perder a vida
Médio que conquistou a Youth League pelo Benfica assinou contrato de dois anos com campeões luxemburgueses